Savčí B buňky jsou primárně klasifikovány na progenitorové B buňky, pre-B buňky, nezralé B buňky, folikulární B buňky, B buňky marginální zóny, paměťové B buňky, plazmatické buňky a další typy.

1. Progenitorové B buňky
Progenitorové B buňky jsou předchůdci s omezenou schopností sebeobnovy, rozdělené na časné pro-B buňky a pozdní pro-B buňky. Během časného stádia pro-B buněk dochází k přeuspořádání těžkého řetězce DJ, zatímco během pozdního stádia pro-B buněk dochází k přeuspořádání těžkého řetězce VDJ. Tyto buňky také exprimují markery specifické pro linii B, jako jsou molekuly Thy-1+, Tdt+, B200+ a mb-1+.
2. Pre-B buňky
Stádium pre-B buněk začíná expresí receptoru pre-B buněk (pre-BCR), složeného z μ řetězce a náhradních lehkých řetězců (včetně proteinů VpreB a λ5 homologních s oblastmi V a C lehkého řetězce). Pre-BCR signalizace spouští klonální expanzi B buněk a inhibuje další přeuspořádání těžkého řetězce VDJ, což zajišťuje vyloučení alel. TdT a CD10 jsou užitečné markery pro odlišení pre-B buněk od jiných vývojových stádií B buněk. Toto stadium také exprimuje diferenciační antigeny, jako je MHC II, CD19, CD20 a CD24. Pre-B buňky postrádají schopnost reagovat na antigeny a nevykazují imunitní funkce.
3. Nezralé B buňky
Po vývoji v kostní dřeni dozrávají pre-B buňky na nezralé B buňky, které na svém povrchu exprimují pouze kompletní IgM vázaný na membránu (mIgM). Pokud se tento mIgM naváže na vlastní antigeny v kostní dřeni, vede to k apoptóze buněk, což vede k deleci klonu. Některé nezralé B buňky rozpoznávající vlastní antigeny mohou změnit specifitu svého BCR prostřednictvím úpravy receptoru. Nezralé B buňky začínají ztrácet expresi Tdt a CD10, ale mohou exprimovat CD22, CD21 a FcR. Mezitím se zvyšují hladiny exprese molekul CD19, CD20 a MHC II.
4. Folikulární (FO) B buňky
Folikulární B buňky jsou hlavní podskupinou B buněk u myší a lidí. Malá podskupina T2 přechodných B buněk dozrává na folikulární B buňky v kostní dřeni, ale většina nezralých B buněk migruje do sleziny, kde dozrává na folikulární B buňky nebo B buňky marginální zóny. Většina myších a lidských folikulárních B buněk exprimuje vysoké hladiny IgD a CD23/FcεRⅡ spolu s nízkými hladinami IgM. Tyto buňky navíc exprimují CD22/Siglec-2 a u myší nízké hladiny CD1d. Ve srovnání s B buňkami marginální zóny u myší a lidí mají folikulární B buňky nižší hladiny CD21. Po aktivaci se folikulární B buňky periferně diferencují na plazmatické buňky s krátkou životností nebo vstupují do reakcí germinálních center závislých na T buňkách.
5. Okrajová zóna (MZ) B buňka
U myší sídlí B buňky marginální zóny v bílé dřeni sleziny mezi marginálním sinem a červenou dření, což jim umožňuje rychle reagovat na patogeny přenášené krví a zároveň se podílet na imunitních reakcích nezávislých na T buňkách i na T buňkách. T2 přechodné B buňky migrují do sleziny a dozrávají buď na B buňky marginální zóny nebo folikulární B buňky. Lidské B buňky marginální zóny jsou cirkulující buňky, které se nacházejí nejen ve slezině, ale také na mnoha dalších místech. Na rozdíl od folikulárních B buněk exprimují B buňky marginální zóny vysoké hladiny IgM a nízké hladiny IgD a CD23/FcεRⅡ. Kromě toho myši i lidské B buňky marginální zóny exprimují vysoké hladiny CD1 (CD1d u myší, CD1c u lidí) a CD21.
6. Paměťové B buňky
Aktivované naivní B buňky se v zárodečných centrech diferencují na paměťové B buňky, které se mohou rychle diferencovat na plazmatické buňky po opětovné expozici antigenu.
Lidské a myší paměťové B buňky jsou heterogenní populace. U myší se CD19, CD80, CD73 a PD-L2/CD273 běžně používají k identifikaci paměťových B buněk. U lidí jsou paměťové B buňky typicky identifikovány expresí CD27 spolu s nízkými hladinami CD23/FcεRⅡ a absencí markeru plazmatických buněk Syndecan-1/CD138. DEP-1/CD148 se také často používá k identifikaci lidských paměťových B buněk, stejně jako vysoké hladiny B7-1/CD80, B7-2/CD86 a CD95.
7. Plazmatické buňky
Plazmatické buňky jsou terminálně diferencované buňky vylučující protilátky nezbytné pro okamžitou i dlouhodobou protilátkovou odpověď po expozici antigenu. Jsou to velké, neproliferativní buňky s minimální expresí povrchového imunoglobulinu. Plazmatické buňky vylučují velké množství protilátek a jsou považovány za zralejší než jejich prekurzorové buňky, plazmatické blasty. Krátkodobé plazmatické buňky se typicky objevují v červené dřeni sleziny bezprostředně po infekci, zatímco dlouhověké plazmatické buňky se objevují týdny po expozici antigenu a často sídlí ve specializovaných výklencích v kostní dřeni.
Myší a lidské plazmatické buňky jsou běžně identifikovány jako buňky CD19-Syndecan-1/CD{2}}. Lidské plazmatické buňky také exprimují vysoké hladiny CD38, zatímco myší plazmatické buňky exprimují Ly6k, Sca{5}}/Ly6 a CD98, ale ne B220/CD45R. Navíc jak myší, tak lidské plazmatické buňky neexprimují IgD, vykazují nízké hladiny molekul MHC třídy II a vysoké hladiny CD27, CXCR4, BCMA a transkripčních faktorů XBP1, IRF4 a BLIMP1.
▇ B Cell Marker
CD19:GB11061-1, GB12061, GB15006, GB15061
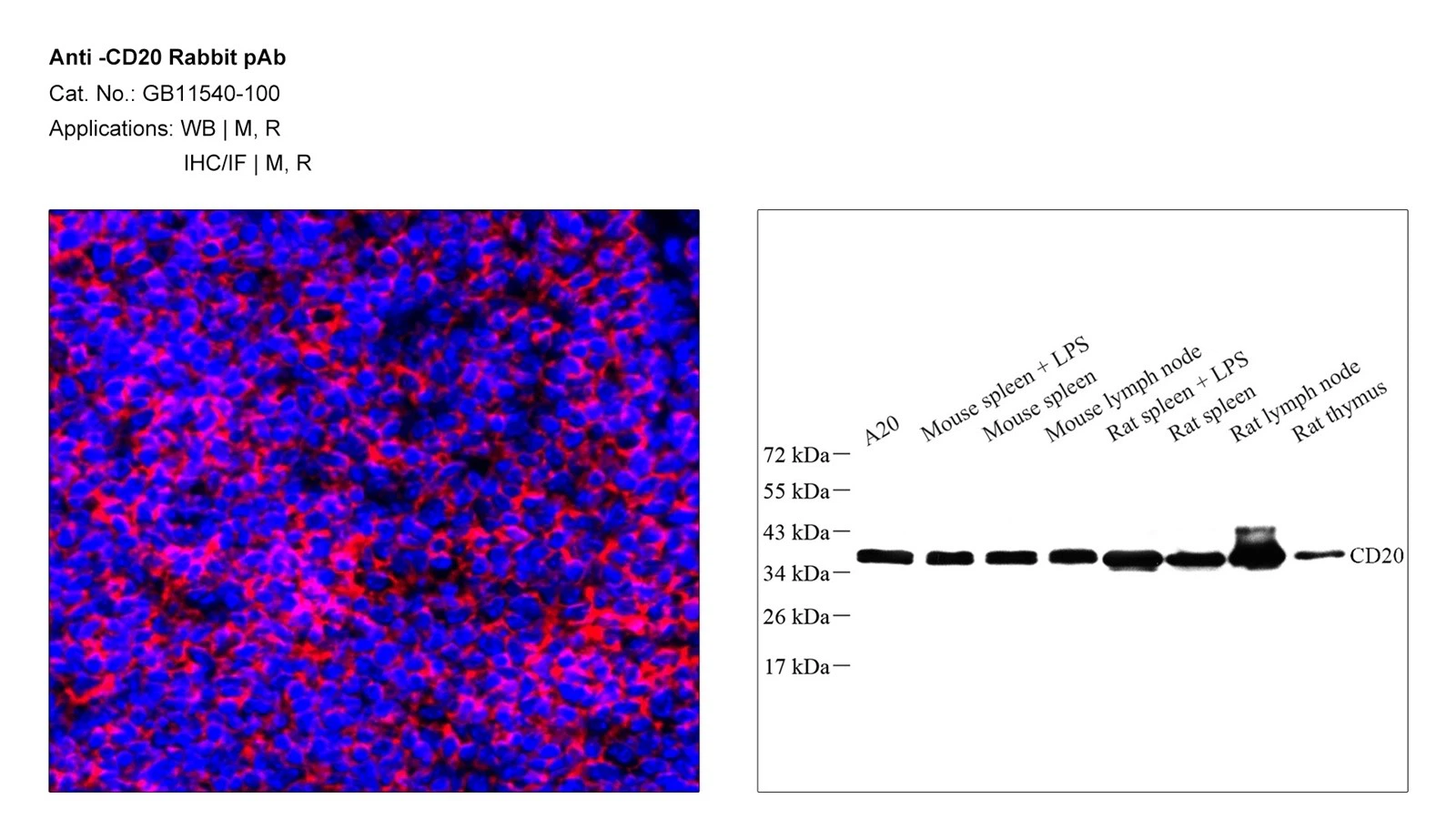
CD20:GB11540
CD22:GB115558
CD27:GB11583
CD30:GB111140
CD38:GB114831, GB114832
CD40:GB115671
CD45:GB113885, GB113886
CD74:GB115427, GB115175
CD138:GB115052
VPREB1 / CD179A:GB114476
IgM:GB112040
Poznámka:Protilátky Servicebio mohou být použity pouze ve vědeckém výzkumu.
1. CD19
Kočka. Č.: GB11061-1, GB12061, GB15006, GB15061
CD19 slouží jako biomarker pro B buňky, reguluje jejich vývoj, proliferaci a diferenciaci prostřednictvím receptoru B buněk (BCR) a zprostředkovává cytotoxicitu T buněk proti cílovým buňkám. Existují rozdíly v imunofenotypech normálních a maligních plazmatických buněk. Průtoková cytometrie typicky ukazuje, že normální plazmatické buňky exprimují CD19, zatímco maligní plazmatické buňky, které jsou převážně CD19-negativní, vykazují negativní vzor barvení.

2. CD20
Kočka. č.: GB11540
CD20 je lymfocytární povrchová molekula, klasický marker B-buněk, exprimovaný z pre-B buněk do zralých B buněk a ztracený v plazmatických blastech a plazmatických buňkách. Má molekulovou hmotnost 33 až 37 kDa a je kódován genem MS4A1 umístěným na chromozomu 11. Funkčně se předpokládá, že jde o vápníkový kanál a reguluje funkci B-buněk vazbou na receptor B-buněk.

3. CD22
Kočka. č.: GB115558
CD22 je primárně exprimován intracelulárně v časném vývoji B-buněk, včetně pro-B a pre-B buněk, a jak B buňky dozrávají, tato exprese se posouvá na membránu. Je nejvyšší v expresi ve zralých B buňkách a je exprimován u většiny B-buněčných malignit, včetně akutní lymfoblastické leukémie (B-ALL), non-Hodgkinského lymfomu (NHL) a vlasatobuněčné leukémie (HCL). Konkrétně je CD22 exprimován na leukemických buňkách u více než 90 % pacientů s ALL.

4. CD27
Kočka. č.: GB11583
U lidí jsou paměťové B buňky typicky identifikovány jejich expresí CD27.

5. CD30
Kočka. č.: GB111140
CD30 je členem superrodiny receptorů pro tumor nekrotizující faktor, primárně exprimovaný na povrchu aktivovaných T-buněk, B-buněk a NK-buněk, s nízkou úrovní exprese za normálních fyziologických podmínek.

6. CD38
Kočka. č.: GB114831,GB114832
CD38 je prognostický faktor pro chronickou B-buněčnou lymfocytární leukémii (B-CLL). Onemocněním s nejvyšším zaměřením na CD38 je mnohočetný myelom (MM).

7. CD40
Kočka. č.: GB115671
CD40 je členem superrodiny receptorů pro tumor nekrotizující faktor, široce exprimovaný na imunitních buňkách, zejména B buňkách, dendritických buňkách (DC) a monocytech. Hraje zásadní roli při přemostění vrozené a adaptivní imunity.

8. CD45
Kočka. č.: GB113885,GB113886
CD45 je transmembránová protein tyrosin fosfatáza typu I (PTPáza) exprimovaná ve všech hematopoetických kmenových buňkách (HSC) kromě červených krvinek a krevních destiček.

9. CD74
Kočka. č.: GB115427,GB115175
CD74 je exprimován ve všech B buňkách a určitých podskupinách T buněk (MHC II pozitivní), primárně v lymfocytech zárodečných center. Používá se hlavně jako marker pro B buňky a z nich odvozené nádory. Výzkum naznačuje, že CD74 je spojován s různými lidskými nemocemi, včetně autoimunitních onemocnění (jako je systémový lupus erythematodes), stejně jako s aterosklerózou, Alzheimerovou chorobou a rakovinou. Kromě toho je CD74 nadměrně exprimován v mnoha nádorech a je spojen s invazí u karcinomu ledvin z jasných buněk, rakoviny žaludku a rakoviny slinivky.

10. CD138
Kočka. č.: GB115052
CD138 je specifický marker pro plazmatické buňky, také známý jako efektorové B buňky. Primárně pocházejí z naivních B buněk aktivovaných antigenem nebo paměťových B buněk a jsou zodpovědné za syntézu a ukládání protilátek.

11. VPREB1 / CD179A
Kočka. č.: GB114476
Náhradní lehký řetězec složený z VPREB1 (CD179A) a 1LAMBDA5 (CD179B) je exprimován v pre-B buňkách v neúplné formě imunoglobulinu. Po diferenciaci na nezralé a zralé B buňky jsou CD179A/B ztraceny a nahrazeny konvenčními lehkými řetězci. Proto může CD179A/B sloužit jako markery pro pre-B buňky.

12. IgM
Kočka. č.: GB112040
B buňky marginální zóny u myší jsou umístěny v bílé dřeni sleziny mezi marginálním sinem a červenou pulpou, zatímco u lidí jsou buňky marginální zóny volně recirkulující buňky, které se nacházejí nejen ve slezině, ale také na mnoha dalších místech. Na rozdíl od folikulárních B buněk exprimují B buňky marginální zóny vysoké hladiny IgM.

